Osgood-Schlatter Disease: Why "Growing Pains" May Actually Be Spinal Dysfunction
Osgood-Schlatter Disease (OSD) is one of the most common causes of knee pain in children and young athletes, yet it remains widely misunderstood. Traditionally categorised as simple "growing pains," this label can lead to inadequate treatment and prolonged suffering.
As a Physiotherapist who has both personally experienced OSD and treated countless patients with this condition, I've developed a different perspective. What if the conventional wisdom about growth being the primary culprit is incomplete? What if we're missing a crucial piece of the puzzle that could lead to faster, more effective recovery?
Through my clinical work, I've observed a surprising pattern that challenges traditional thinking: lower back dysfunction may play a significant role in the development and persistence of Osgood-Schlatter Disease.
Key Clinical Insight
In my practice, nearly all OSD patients present with stiffness in and around the T10-L3 spinal segments - the area between the base of the ribcage and top of the lumbar spine. This stiffness often correlates with the side of more severe knee symptoms and may help explain why approximately 70% of cases affect one knee more than the other.
Understanding Osgood-Schlatter Disease: Beyond the Basics
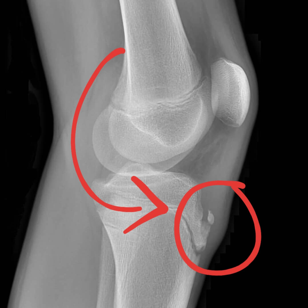
First described by surgeons Robert Osgood and Carl Schlatter in 1903, Osgood-Schlatter Disease involves irritation at the point where the patellar tendon attaches to the tibial tuberosity - the bony bump at the top of the shinbone.
This condition is classified as a traction apophysitis, meaning it results from repeated pulling forces on a growth plate. During adolescence, the tibial tuberosity consists of softer, developing cartilage rather than solid bone, making it more vulnerable to stress.

Despite the name "disease," OSD isn't an illness in the traditional sense but rather a mechanical dysfunction. It's extremely common, affecting up to 10% of young athletes, with approximately 30% of cases involving both knees.
Who Gets Osgood-Schlatter Disease?
- Most common in children ages 11-14 during growth spurts
- Affects athletic children more frequently, particularly those involved in sports requiring running, jumping, and cutting motions
- More common in boys, though the gap is narrowing as more girls participate in sports
- Can persist into adulthood in approximately 10% of cases
Traditional Symptoms and Diagnosis
The classic symptoms of Osgood-Schlatter Disease include:
- Pain and tenderness at the front of the knee, specifically at the tibial tuberosity
- Visible bony bump at the top of the shin
- Swelling and inflammation around the knee
- Pain that worsens during and after physical activity
- Tightness in surrounding muscles, particularly the quadriceps and hamstrings
Diagnosis is typically straightforward through physical examination, where pressure on the tibial tuberosity reproduces pain. Healthcare providers may ask patients to demonstrate movements like walking, jumping, or kneeling to assess discomfort levels.
The Problem with "Growing Pains" Thinking
Traditional treatment approaches often emphasise waiting out the condition until growth is complete. While it's true that symptoms often improve once the growth plates fuse, this passive approach has significant limitations:
Why the "Wait It Out" Approach Falls Short
- Growing is normal - pain is not
- Asymmetry is common - 70% of cases affect one knee more than the other, challenging the idea that uniform growth causes the problem
- Adults can have OSD - approximately 10% of childhood cases persist into adulthood
- It discourages proactive treatment that could provide faster relief and prevent long-term issues
If growth alone caused OSD, we would expect it to affect both knees equally in most cases. The fact that it doesn't suggest other biomechanical factors are at play.
A New Perspective: The Spinal Connection
Through years of clinical practice, I've observed a consistent pattern that may explain these inconsistencies: stiffness in specific spinal segments appears to correlate strongly with OSD symptoms.
What I'm Finding Clinically
Nearly every OSD patient I've treated presents with stiffness in or around the T10-L3 spinal segments - the area between the base of the ribcage and the top of the lumbar spine. Importantly, this isn't necessarily a pain that patients notice themselves, but rather restricted mobility that becomes apparent during thorough assessment.

This area is critically important because it houses the nerve roots that supply and control the thigh and knee. When these spinal segments become stiff, it can create a chain reaction:
- Spinal stiffness may alter neural signalling to lower extremity muscles
- Quadriceps and hip flexors develop increased resting tension
- A greater pulling force is exerted on the patellar tendon
- Excessive stress concentrates at the vulnerable tibial tuberosity
- The growth plate becomes irritated and painful
This mechanism may explain why OSD frequently affects one knee more than the other - the spinal stiffness is often asymmetrical as well. In my own case as a teenager, my left side was significantly stiffer than my right, corresponding to my more severe left knee symptoms.
Comprehensive Treatment Approach
While addressing potential spinal contributors is important, effective OSD management requires a multifaceted approach that includes both traditional and innovative strategies.
Traditional Management (Still Important)
- Activity modification - reducing (not necessarily eliminating) sports that aggravate symptoms
- Supportive devices - patellar tendon straps can help distribute forces more evenly
- Strengthening exercises - focused on quadriceps, hamstrings, glutes, and core muscles
- Flexibility work - addressing tightness in quadriceps, hamstrings, and calves
The Missing Piece: Spinal Integration
Based on my clinical findings, I recommend adding these spinal-focused interventions:
- Reduce spinal stiffness - Use a foam roller or lacrosse ball to gently mobilise any restrictions around the T10-L2 segments
- Improve postural awareness - Pay attention to sitting and standing positions to maintain spinal alignment
- Incorporate core stabilisation - Exercises like planks help support proper spinal positioning
Practical Exercises for Home Management
Lower Back Mobility Exercise
Using a foam roller, lacrosse ball, or even a rolled-up towel, gently apply pressure to the mid-to-lower back area. Instead of rapidly rolling back and forth, focus on finding tender or stiff spots and maintaining gentle pressure for 30-60 seconds while breathing deeply. This allows the restricted tissues to gradually release.
Core Strengthening
Simple plank exercises build the core stability needed to maintain proper spinal alignment. Start with 3-4 sets of 20-30 second holds, gradually increasing duration as strength improves. Variations like side planks or planks with arm/leg lifts can provide progressive challenge.

Postural Awareness
Pay attention to sitting positions throughout the day. The distinctive "slouchy hinge" in the lower back during sitting creates precisely the type of spinal dysfunction that may contribute to OSD. Regular postural checks and corrections can help retrain better positioning.
Frequently Asked Questions
How long does Osgood-Schlatter Disease last?
With appropriate comprehensive treatment, including spinal mobility work, many patients see significant improvement within weeks rather than months or years. While the bony bump may remain, pain and functional limitations can resolve much faster than traditional timelines suggest.
Can adults have Osgood-Schlatter Disease?
Yes, approximately 10% of childhood cases persist into adulthood. This further challenges the notion that growth alone causes OSD, since these individuals have completed their growth yet still experience symptoms.
Is surgery ever necessary?
Surgery is rarely needed for OSD and is typically considered only in severe cases that don't respond to conservative treatment, or when loose bone fragments cause persistent issues in adulthood.
Can my child continue playing sports with OSD?
In most cases, yes - but with appropriate modifications. Working with a physiotherapist can help identify specific movements that aggravate symptoms and develop strategies to participate safely while recovering.
Conclusion: A New Paradigm for OSD
Osgood-Schlatter Disease doesn't have to be a condition that young athletes simply "wait out." By looking beyond the knee to potential contributors like spinal dysfunction, we can develop more effective treatment strategies that provide faster relief and prevent long-term issues.
The connection between spinal stiffness and knee symptoms represents a promising area for both treatment and prevention. While more research is needed to fully understand this relationship, the clinical results I've observed suggest that addressing spinal mobility alongside traditional knee-focused treatment can lead to better outcomes.
If you or your child is struggling with Osgood-Schlatter Disease, consider discussing spinal assessment with your Physiotherapist. Sometimes the key to resolving stubborn knee pain lies not in the knee itself, but in the intricate connections between your spine and extremities.
Need Personalised Guidance?
If you'd like help trying to uncover the underlying cause of your pain or dysfunction, consider booking an online Telehealth consultation with Grant here!

4 comments
I was curious if OSD can begin to present itself in prepubescent children.
My 9 year old just started complaining of knee pain in one knee and it seems to worsen with running and trampoline jumping. I have OSD in both knees (and the bumps to prove it) from volleyball (i assumed) as a teen age girl.
My question is, how young is too young to consider an OSD diagnosis.
Thank you so much!
Hi Laura! Glad to hear you may have found something helpful! Absolutely let me know how you guys go!
I’m so grateful to have found your website and information. My 14 year old son suffers so much and we are in a really tough time with the OS issue . His knots are getting bigger each day . He’s in constant pain – we’ve taken him to orthopedic doctors, growth specialists, sports medicine doctors and we get told the same thing … it will go away .. in the mean time rest and ice and stretch . My son’s sports are his life , his passion and I think stopping for a year or two would hurt him more in the long run that dealing with these knots his whole life . The problem is , he is a slow grower . He’s super short and is having late onset growth… so we are literally just waiting for a miracle .. some doctors say he won’t finish growing until he’s a senior in high school .. so he has to wait and live like this for four years . I am always searching for answers and solutions and when your video popped up and mentioned lower back pain , it was like a lightbulb for me . My son , says his power back hurts all the time too . The doctors said that was a growth issue as well . But , I’m so , so hopeful right now that if we take him to a chiropractor or a deep tissue masseuse, we can work on the lower back and relieve the load on the knee( as I learned from your advice ). It makes so much more sense to me than the growth issue . For once on a year almost , I have hope and I thank you for that . I’d love to keep you updated on my son’s progress and if this works for him . If it does , then you will have changed his life and I would want that for any other kid’s suffering with this condition. I hope you receive this message ! Please email me if there is anything else you recommend. Thank you so much .
Laura
Ongoing health issues with my friend Carolyn Brown-Hodnett-Brown now almost 69 years old. Osgood-Schlatte