Blog

box person looking sad in rain similar to person with fibromyalgia

Fibromyalgia: A Physio's View on the Root Cause...

Struggling with fibromyalgia? A physio explains why a heightened nervous system may be the root cause and offers 5 evidence-based strategies to reduce pain and sensitization.

Fibromyalgia: A Physio's View on the Root Cause...

Struggling with fibromyalgia? A physio explains why a heightened nervous system may be the root cause and offers 5 evidence-based strategies to reduce pain and sensitization.

Calf achilles tendonits

Achilles Tendonitis Treatment: Beyond Overuse -...

Discover why ankle stiffness & hip tightness may be causing your Achilles pain. Physio's complete guide to treatment, exercises & long-term recovery. Evidence-based approach.

1 comment

Achilles Tendonitis Treatment: Beyond Overuse -...

Discover why ankle stiffness & hip tightness may be causing your Achilles pain. Physio's complete guide to treatment, exercises & long-term recovery. Evidence-based approach.

1 comment
How to Get Better at Fortnite Battle Royale in Chapter 6: The Ultimate Guide to Performance, Health & Winning More Games

How to Get Better at Fortnite Battle Royale in ...

Learn how to get better at Fortnite in Chapter 6 with pro tips on posture, sleep, nutrition & mindset. Boost gameplay & unlock your true potential.

How to Get Better at Fortnite Battle Royale in ...

Learn how to get better at Fortnite in Chapter 6 with pro tips on posture, sleep, nutrition & mindset. Boost gameplay & unlock your true potential.

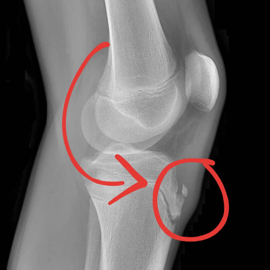
osgood schlatter disease xray

Osgood-Schlatter Disease: Why These "Growing Pa...

Osgood-Schlatter isn't just "growing pains." A physio explains the hidden spinal connection (T10-L3 stiffness) and how to treat it for lasting relief.

4 comments

Osgood-Schlatter Disease: Why These "Growing Pa...

Osgood-Schlatter isn't just "growing pains." A physio explains the hidden spinal connection (T10-L3 stiffness) and how to treat it for lasting relief.

4 comments
Pushups and Heart Health: The Surprising Link

Pushups and Heart Health: The Surprising Link

A landmark study found that men who can do 40+ pushups have a 96% lower risk of heart disease. Discover the link and how to improve your capacity. Port Macquarie...

Pushups and Heart Health: The Surprising Link

A landmark study found that men who can do 40+ pushups have a 96% lower risk of heart disease. Discover the link and how to improve your capacity. Port Macquarie...

wim hof method in ice bath

18 Wim Hof Method Benefits: A Physiotherapist's...

From injury recovery and pain management to stress resilience and focus - a Port Macquarie physio shares 18 practical benefits of the Wim Hof Method for daily life.

18 Wim Hof Method Benefits: A Physiotherapist's...

From injury recovery and pain management to stress resilience and focus - a Port Macquarie physio shares 18 practical benefits of the Wim Hof Method for daily life.